Мужчину со спицей в позвоночнике спасли рязанские врачи
О неординарном клиническом случае рассказал главный врач Рязанской ОКБ Андрей Карпунин на своей странице в ВКонтакте.
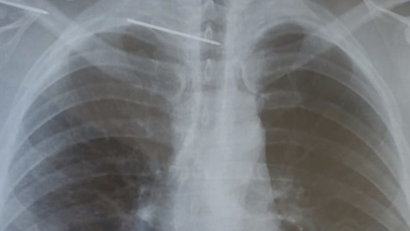
«В ОКБ поступил мужчина со спицей в позвоночнике, – рассказал главврач ОКБ. – Придумать случай сложнее было бы невозможно – спица прошла через сосудистый нервный пучок, пересекла грудной отдел позвоночника и проткнула спинной мозг. Следствием стало онемение ног у пациента, с жалобой на которое он и обратился в нейрохирургическое отделение ОКБ».
После всех диагностических процедур выяснилось, что спица попала в позвоночник пациента после операции в одной из клиник. Этой спицей мужчине скрепили ключицу, чтобы вылечить перелом. Далее, по необъяснимым причинам, она откололась, проникла в позвоночник и могла спровоцировать гнойно-септическое осложнение. Требовалась срочная операция. При этом оставался высоким риск, что мужчина останется парализованным. Поврежденный спинной мозг мог перестать проводить импульсы от головного мозга к конечностям.
Пациента спасала мультидисциплинарная хирургическая бригада. Операция длилась семь часов. В ней участвовали нейрохирурги, сосудистый и торакальный хирурги, а также анестезиологи. После пациента выхаживали в реанимации.
«Я уверен, что хирургическое лечение завершилось успешно благодаря тому, что все наши специалисты сработали профессионально и слаженно, – продолжил Андрей Карпунин. – Пока хирурги аккуратно продвигались через ткани, чтобы достичь инородного тела, анестезиологическая бригада поддерживала показатели пациента. Особенно сложным был этап извлечения спицы. Требовалась ювелирная работа, чтобы не повредить тонкие структуры спинного мозга».
Через сутки после операции мужчина встал на обе ноги и начал ходить.
Фото: Андрей Карпунин, ВКонтакте.
Еще новости "Рязань":
- Дожди с грозами возможны в Рязанской области в пятницу
- Производитель литий-ионных аккумуляторных батарей ООО НПО «Компас» строит новый комплекс в ИП «Рязанский»
- Губернатор Павел Малков пообещал кадровые решения в спортшколе «Родной край»
- Экспертиза подтвердила аварийное состояние двух подъездов дома, пострадавшего после атаки БПЛА
- К теме строительства свинокомплексов в Рязанской области подключится экологический совет при губернаторе

















