Врачи Рязанской ОКБ спасли мужчину с инфарктом
Врачи Рязанской областной клинической больницы спасли мужчину после инфаркта. Об этом сообщила пресс-служба министерства здравоохранения.
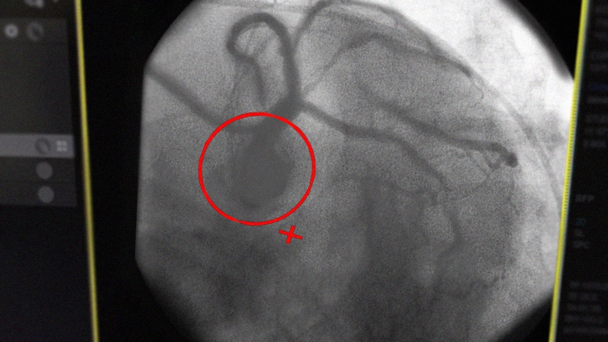
С утра 42-летний рязанец почувствовал себя плохо, однако все равно поехал на работу. За рулем он чуть не попал в ДТП – прохожие вызвали скорую помощь. В областной клинической больнице пациенту провели стентирование. Сейчас мужчина чувствует себя удовлетворительно, его выписали для наблюдения по месту жительства.
Фото: министерство здравоохранения Рязанской области
Еще новости "Рязань":
- Дожди с грозами пройдут в среду в Рязанской области
- Жителям Рязани рассказали о мерах поддержки семей
- В Рязани за лето отремонтируют около 10 километров квартальных магистралей
- В Рязани перекроют несколько улиц для проведения «Зеленого марафона»
- У рязанки нашли тяжелые болезни во время диспансеризации

















